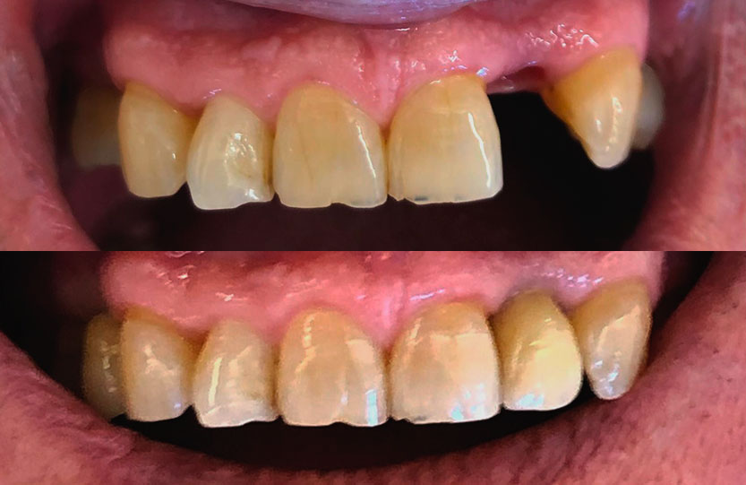
1 Preparando el Camino para una Nueva Raíz
A continuación, te mostramos el proceso que seguimos para devolver una sonrisa, ilustrado con el caso de dos coronas de zirconio sobre implantes de incisivo lateral y primer premolar superior.
Todo comienza con el espacio vacío que dejó el diente. En esta primera fase, evaluamos minuciosamente la salud de su mandíbula para asegurarnos de que el hueso sea apto para recibir el implante. Es un paso crítico para garantizar el éxito del tratamiento a largo plazo.
2 La Colocación del Implante: El Primer Pilar de tu Sonrisa
Una vez que el área está lista, procedemos a colocar el implante, que actúa como una raíz artificial de titanio. Este material es biocompatible, lo que significa que el cuerpo lo acepta sin problema. Se inserta con precisión en el hueso, sirviendo como la base sólida sobre la que se construirá el nuevo diente.
3. La Oseointegración: La Fusión con la Naturaleza
Después de la colocación, el implante se cubre para iniciar un proceso biológico llamado oseointegración. Durante este tiempo, el hueso se fusiona gradualmente con la superficie del implante. Este proceso es fundamental porque crea una unión tan fuerte como la de una raíz natural, lo que asegura que el implante no se mueva y sea completamente estable.
4. La Corona de Zirconio: La Cima de la Restauración
Una vez que la oseointegración se ha completado y el implante está perfectamente anclado, es momento de colocar la corona. En el caso de nuestro paciente, utilizamos coronas de zirconio para el incisivo lateral y el primer premolar. Este material no solo es increíblemente duradero, sino que también ofrece una estética superior, imitando a la perfección el color y la translucidez de un diente natural.
En Clínica Novapraxis, cada paso de este proceso está diseñado para brindarte una solución que no solo se ve bien, sino que también funciona de manera óptima por muchos años. Si estás considerando un implante dental, no dudes en contactarnos para una consulta. Estamos listos para ayudarte a recuperar tu sonrisa completa.
